Unsere Leistungen

 

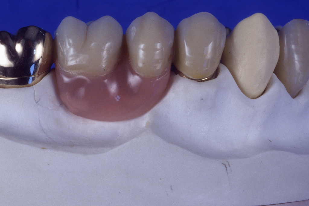
Wir arbeiten mit einem breit gefächertem Werkstoffspektrum, um eine hohe Qualität der Restaurationen zu gewährleisten.

 

Naturidentisches Aussehen, Stabilität und Tragekomfort von der Krone bis zur großspannigen Brücke-

Zirkon wird allen Ansprüchen an hochwertigen und langlebigen Zahnersatz gerecht und verleiht ein frisches und gepflegtes Aussehen.

 

Bei fachmännischer Konstruktion ist Zahnersatz aus Zirkon eine Investition für die Ewigkeit.

Durch die extreme Härte und hohe Dichte des Materials hält es höchsten Kaukräften in allen Mundbereichen stand, nutzt sich nicht ab und bleibt auch nach langer Zeit noch sehr ästhetisch.

 

Unser freundlicher Service rundet unser breitgefächertes Leistungsangebot ab.

 

Hier finden Sie uns

Dentallabor Chochola
Am Angerl 1
82239 Alling

Kontakt

Rufen Sie einfach an unter

 

08141-41516

 

oder nutzen Sie unser Kontaktformular.

Druckversion | Sitemap
© Dentallabor Chochola